Протонная терапия – новейший метод лечения рака
На протонную терапию онкологи возлагают большие надежды, так как она имеет значительные преимущества перед традиционными методами радиационной терапии. Целевое облучение пучком протонов значительно снижает уровень облучения здоровых тканей и дает возможность повысить дозу облучения опухолевых клеток. При неметастазированных опухолей – эффективность лечения возрастает более чем на 50 %.
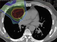
Центр Протонной терапии в Мюнхене является первым центром в Европе, задуманным и созданным исключитель но для лечения пациентов, а не открытым на базе научно-исследовательского центра. Оснащение Центра даёт возможность облучать опухоли, расположенные на глубине до 38 см. Благодаря отсутствию облучения тканей за опухолью стало возможным использовать высокие дозы излучения для таких форм рака, лечение которых до сих пор было слишком опасным из-за соседства с чувствительными органами (такими, как спинной мозг, мозговой ствол, печень и лёгкие). Обычным явлением стало облучение глазных опухолей без повреждения при этом зрительного нерва, роговицы и тканей мозга. Для лечения детей, по мнению международных специалистов, должна использоваться протонная терапия. Подробнее
|
НИКОЛАЙ КАРАЧЕНЦОВ на РЕАБИЛИТАЦИИ в ЦЕНТРЕ ЛЕВИНШТЕЙН
Мы долго стремились сюда, но нам не разрешали летать, - сказала в интервью корреспонденту Eurodoctor.ru Людмила Поргина, жена актера. – Тем временем многие рекомендовали нам израильский реабилитационный центр "Левинштейн". И вот наконец врачи сказали, что весной мы можем совершить перелет...
Реабилитационный центр "Левинштейн" специализируется на реабилитации травм головы, спинного мозга, конечностей и др. Основной контингент - пациенты, пострадавшие в дорожно-транспортных происшествиях (взрослые и дети) и в результате террористических атак. Главным фактором полного выздоровления является разработанная ведущими специалистами медицинского центра "Левинштейн" уникальная концепция комплексной реабилитации.
Организация лечения в центре "Левинштейн" – (495) 585-92-41 Подробнее
|
Внимание Акция! Снижение цены на пластические операции на 25%!

Пластический хирург - Кулиев Теймур Арифович - Лечебно-реабилитационный центр Росздрава, г. Москва.
Круговая подтяжка лица и шеи - цена по акции - 150 тыс. руб.
Ринопластика - цена по акции - 150 тыс. руб.
Увеличение груди - цена по акции - 150 тыс. руб.
Блефаропластика - цена по акции - 60 тыс. руб.
Запись по акции - (495) 66-44-325 Подробнее
|